Loading animation - Dadsters
Request loading animation - Dadsters
Dadsters
English

الملف الشخصي

تغيير الصورة
JO +962
اتصل الآن

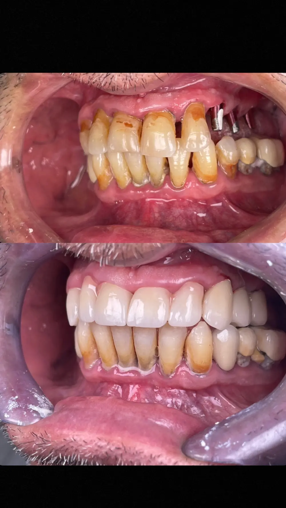
عيادة أسنان ، الدكتور نضال خليفة ، طبيب أسنان

وصف

عيادة طب أسنان ، نقدم جميع الخدمات التجميلية والعلاجات اللازمة ، نسعد بخدمتكم ونتمنى لكم السلامة .

المرافق

  • واي فاي
  • موقف سيارات
  • مرافق للعملاء ذوي الإعاقة
  • غرفة قياس
  • منطقة تدخين

لا يوجد منتجات!

shumaisani
;